
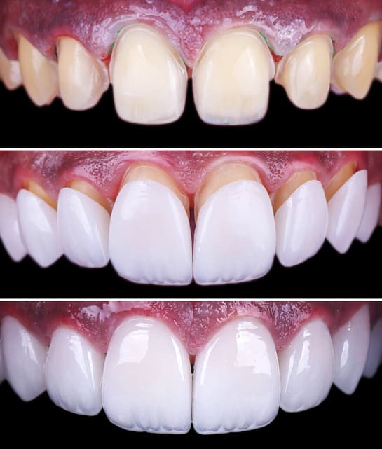
Skallfasett– forbedre form og farge på tennene
Skallfasetter er en populær estetisk behandling som kan gi smilet et nytt og harmonisk uttrykk. Tynne porselensskall festes på forsiden av tennene for å forbedre både farge, form og symmetri.
Hos Sanner Tannklinikk i Oslo planlegges behandlingen individuelt for å sikre et naturlig resultat som passer til ansiktet og smilet ditt.
Bestill konsultasjon dersom du vurderer skallfasetter.

Hva er skallfasetter?
Skallfasetter er svært tynne porselensskall som festes på forsiden av tennene. De brukes for å forbedre utseendet på tennene uten omfattende behandling.
Behandlingen kan korrigere:
-
misfargede tenner
-
små sprekker eller skader
-
ujevn tannform
-
små mellomrom mellom tennene
-
mindre skjevheter
Resultatet er et mer symmetrisk og estetisk smil.
Når kan skallfasetter være aktuelt?
Skallfasetter kan være en god løsning dersom du ønsker å forbedre smilet ditt uten omfattende tannregulering eller andre større inngrep.
Behandlingen kan være aktuell dersom du:
-
er misfornøyd med tannfargen
-
har slitte eller ujevne tenner
-
ønsker et mer harmonisk smil
-
har små mellomrom mellom tennene
En konsultasjon hos tannlege vil avgjøre om skallfasetter er riktig behandling for deg.
Hvordan foregår behandlingen?
Behandlingen planlegges nøye for å sikre et naturlig resultat.
Prosessen består vanligvis av følgende steg:
-
Undersøkelse og planlegging av smilet
-
Lett tilpasning av tannens overflate
-
Avtrykk eller digital scanning av tennene
-
Fremstilling av skallfasetter i laboratorium
-
Festing av fasettene på tennene
Resultatet er tenner som både ser naturlige ut og føles komfortable.

Hvor lenge varer skallfasetter?
Porselensfasetter er slitesterke og kan vare i mange år dersom de vedlikeholdes riktig.
For å bevare resultatet anbefales det:
-
god daglig munnhygiene
-
regelmessige tannlegekontroller
-
å unngå unødvendig belastning på tennene
Med riktig oppfølging kan skallfasetter gi et varig estetisk resultat.
Naturlige resultater
Målet med estetisk tannbehandling er ikke bare hvitere tenner, men et balansert og naturlig smil.
Ved planlegging av skallfasetter vurderer tannlegen blant annet:
-
tannform
-
ansiktsform
-
smillinje
-
tannkjøttets form
Dette sikrer et resultat som ser naturlig ut og passer til ditt ansikt.


